Răng hô nặng là tình trạng sai khớp cắn khiến hàm trên nhô ra rõ rệt so với hàm dưới, ảnh hưởng đến thẩm mỹ và khả năng ăn nhai. Bài viết dưới đây, Nha khoa Orion sẽ giúp bạn nhận biết dấu hiệu răng hô nặng, xác định nguyên nhân và tìm hiểu các phương pháp điều trị phù hợp.
Răng hô nặng là gì?
Răng hô nặng là một dạng sai lệch khớp cắn, thường gặp trong nhóm sai khớp cắn loại II. Tình trạng này xảy ra khi răng hàm trên nhô ra trước quá mức so với hàm dưới. Một số trường hợp liên quan đến cả xương hàm, không chỉ riêng răng. Khi hai hàm khép lại, độ chênh lệch giữa răng trên và răng dưới trở nên rõ rệt, làm mất cân đối khớp cắn.

Răng hô nặng thuộc nhóm sai lệch khớp cắn loại II
Dấu hiệu nhận biết răng hô nặng
Răng hô nặng thường biểu hiện rõ qua thẩm mỹ khuôn mặt và chức năng ăn nhai với những biểu hiện điển hình thường gặp:
Môi không khép kín, khuôn mặt có xu hướng nhô ra: Ở trạng thái nghỉ, môi trên khó khép tự nhiên, răng cửa hàm trên lộ rõ. Khi nhìn nghiêng, vùng môi và mũi nhô ra trước, cằm có xu hướng lùi sau.
Sai khớp cắn loại II rõ rệt: Khi cắn khít, răng hàm trên phủ quá mức lên răng hàm dưới. Khoảng cách giữa hai hàm lớn khiến răng cửa trên không tiếp xúc đúng với răng dưới, làm giảm hiệu quả ăn nhai.
Khó khăn khi ăn nhai và phát âm: Lực nhai phân bố không đều khiến cơ hàm dễ mỏi và khớp thái dương hàm chịu áp lực. Người bệnh có thể phát âm không rõ các âm môi như “p”, “f”, “v”.
Khuôn mặt mất cân đối tổng thể: Khi nhìn chính diện, vùng giữa khuôn mặt nhô ra nhiều hơn. Tỷ lệ giữa hàm, mũi và cằm thiếu hài hòa, làm giảm sự cân đối tự nhiên của gương mặt.

Người bị răng hô nặng thường khó khép kín môi và có răng cửa chìa ra trước
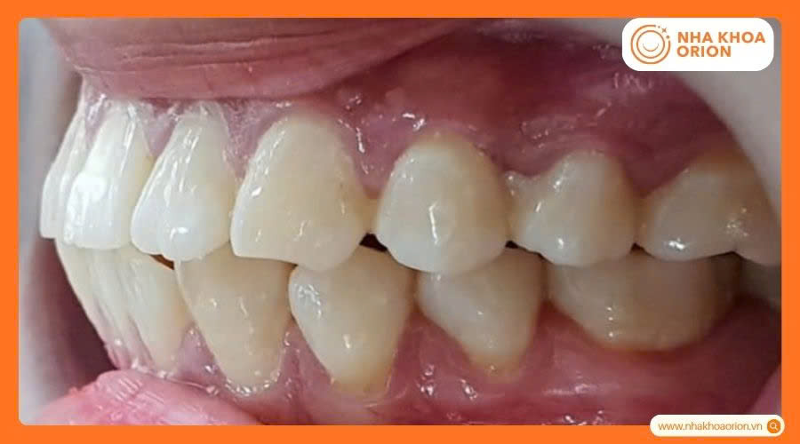
Tổng hợp các hình ảnh về răng hô nặng
Dưới đây là tổng hợp hình ảnh răng hô nặng theo các mức độ phổ biến giúp bạn nhận biết dấu hiệu, mức độ để có phương pháp điều trị hiệu quả:

Răng hàm trên nhô xa hàm dưới làm răng hô nặng

Răng hàm trên chìa ra quá nhiều gây ra cười hở lợi

Răng hô nặng khiến hàm trên nhô ra nhiều làm lệch khớp cắn

Tình trạng răng hô nặng và bị xô lệch
Răng hô cả hai hàm khiến răng cửa chìa ra trước

Răng hàm trên hô nghiêm trọng với răng cửa chìa ra trước 45 độ

Răng hô nặng kèm theo tình trạng mòn men răng
Nguyên nhân gây răng hô nặng
Răng hô nặng hình thành do nhiều yếu tố khác nhau, bao gồm di truyền, rối loạn phát triển răng và các tác động từ thói quen hoặc bệnh lý.
Thói quen xấu kéo dài trong giai đoạn phát triển
Một số thói quen kéo dài ở trẻ nhỏ có thể ảnh hưởng trực tiếp đến hướng mọc răng và sự phát triển xương hàm. Các hành vi như mút tay, cắn móng tay hoặc ngậm ti giả lâu ngày tạo lực đẩy liên tục lên răng cửa hàm trên. Lực này khiến răng có xu hướng chìa ra phía trước, làm tăng nguy cơ hình thành răng hô.
Yếu tố di truyền từ gia đình
Di truyền là nguyên nhân phổ biến dẫn đến răng hô nặng. Nếu cha mẹ hoặc ông bà có đặc điểm hàm trên phát triển quá mức hoặc hàm dưới kém phát triển, con cái có nguy cơ cao gặp tình trạng tương tự. Những sai lệch này thường biểu hiện rõ hơn theo thời gian khi xương hàm phát triển hoàn thiện.
Sự phát triển bất thường trong giai đoạn mọc răng
Tình trạng mọc thừa răng hoặc thiếu răng làm mất cân đối cung hàm. Khi răng không mọc đúng vị trí hoặc thứ tự, các răng còn lại dễ bị xô lệch và chen chúc. Sự mất cân đối này có thể khiến răng cửa hàm trên nhô ra trước, dẫn đến sai khớp cắn và biểu hiện hô rõ rệt.
Bệnh lý tại vùng xương hàm
Một số bệnh lý như u nang hoặc khối u tại xương hàm có thể làm thay đổi cấu trúc xương. Khi xương hàm bị phồng hoặc biến dạng, răng sẽ bị đẩy lệch khỏi vị trí ban đầu. Nếu không điều trị sớm, tình trạng này có thể tiến triển nặng hơn và ảnh hưởng đến khớp cắn cũng như chức năng ăn nhai.

Răng hô nặng thường do yếu tố di truyền và các thói quen xấu kéo dài
Những ảnh hưởng tiêu cực của răng hô nặng
Răng hô nặng không chỉ ảnh hưởng đến ngoại hình mà còn tác động trực tiếp đến chức năng ăn nhai, phát âm và tâm lý. Nếu không can thiệp sớm, tình trạng này có thể gây ra nhiều hệ lụy lâu dài:
Ảnh hưởng thẩm mỹ khuôn mặt: Răng hàm trên nhô ra làm mất cân đối tỷ lệ khuôn mặt. Cằm có xu hướng ngắn và lùi sau, khiến tổng thể gương mặt kém hài hòa làm giảm sự tự tin khi giao tiếp.
Sai khớp cắn gây khó khăn khi ăn nhai: Răng hai hàm không tiếp xúc đúng vị trí khiến lực nhai phân bổ không đều. Tình trạng này dễ gây mòn men răng, lung lay răng và đau khớp thái dương hàm.
Tác động đến phát âm và giọng nói: Răng hô nặng ảnh hưởng đến cách luồng hơi đi qua khoang miệng. Người bệnh thường phát âm không rõ các âm bật hơi, gây khó khăn trong giao tiếp.
Tăng nguy cơ bệnh lý răng miệng: Răng chìa ra ngoài làm việc vệ sinh trở nên khó khăn hơn. Mảng bám và vi khuẩn dễ tích tụ, làm tăng nguy cơ viêm nướu, sâu răng và hôi miệng.
Ảnh hưởng đến tâm lý và chất lượng cuộc sống: Người bị răng hô nặng thường có xu hướng ngại cười và hạn chế giao tiếp. Tình trạng này kéo dài có thể gây mặc cảm và ảnh hưởng đến sinh hoạt hàng ngày.

Răng hô nặng ảnh hưởng đến thẩm mỹ và chất lượng cuộc sống
Các phương pháp khắc phục răng hô nặng hiện nay
Tùy thuộc vào nguyên nhân xuất phát từ răng hay xương hàm, mức độ sai lệch khớp cắn và tình trạng sức khỏe răng miệng tổng thể, bác sĩ sẽ cân nhắc hướng xử lý riêng cho từng trường hợp.
Phẫu thuật chỉnh hình xương hàm
Khi nguyên nhân gốc rễ nằm ở xương hàm phát triển mất cân đối, phẫu thuật chỉnh hàm gần như là lựa chọn không thể thay thế. Trước khi tiến hành, bác sĩ sẽ thăm khám lâm sàng kỹ lưỡng, chỉ định chụp X-quang hoặc CT để có được bức tranh toàn diện về cấu trúc xương hàm, vị trí răng và tình trạng mô nướu.
Ca phẫu thuật thường bao gồm các thao tác như cắt xương, di chuyển khối xương về đúng vị trí giải phẫu, nhổ răng nếu cần thiết và tái lập khớp cắn. Do độ phức tạp cao, đây là kỹ thuật yêu cầu bác sĩ phải có chuyên môn thực sự vững và kinh nghiệm lâm sàng đủ dày mới có thể đảm bảo an toàn lẫn kết quả bền vững.
Niềng răng chỉnh nha
Niềng răng hô vẫn là phương pháp được chỉ định phổ biến nhất, đặc biệt với các trường hợp hô do răng mọc lệch. Bác sĩ sẽ lấy dấu hàm, chụp phim và lên kế hoạch dịch chuyển răng cụ thể cho từng giai đoạn. Trước khi bắt đầu, bệnh nhân có thể cần điều trị sâu răng hoặc nhổ răng theo chỉ định để tạo điều kiện thuận lợi cho quá trình chỉnh nha.
Về hình thức, bệnh nhân hiện có hai lựa chọn chính là niềng mắc cài (kim loại hoặc sứ) và niềng trong suốt bằng khay nhựa y tế. Dù khác nhau về thẩm mỹ và cách đeo, cả hai đều hướng đến cùng một mục tiêu là đưa răng về đúng vị trí trên cung hàm. Thời gian điều trị thường rơi vào khoảng 3 đến 4 năm, có thể dài hơn tùy mức độ hô của từng người.

Niềng răng là phương pháp hàng đầu được nha sĩ khuyến nghị
Bọc răng sứ thẩm mỹ
Bọc sứ thường được cân nhắc trong những ca hô nhẹ, khi mục tiêu chủ yếu là cải thiện thẩm mỹ nhanh hơn là can thiệp chức năng. Điểm cần lưu ý là phương pháp này buộc phải mài bớt mô răng thật trước khi gắn mão, nghĩa là có xâm lấn nhất định. Chính vì vậy, bọc sứ không phải hướng ưu tiên trong đa số ca hô nặng và chỉ nên thực hiện khi bác sĩ có chỉ định rõ ràng sau thăm khám.
Mài chỉnh hình răng
Ở những trường hợp răng nhô ra ở mức độ nhẹ, mài răng là kỹ thuật có thể hỗ trợ điều chỉnh hình dạng mà không cần can thiệp phức tạp. Bác sĩ dùng dụng cụ chuyên dụng để mài bớt phần răng cần điều chỉnh, từ đó giúp cung hàm cân đối hơn về mặt thẩm mỹ.

Cách chữa răng hô nặng hiệu quả
Lưu ý quan trọng khi điều trị răng hô nặng
Để quá trình điều trị đạt hiệu quả tối ưu và đúng tiến độ, người bệnh cần chú ý một số vấn đề sau:
Vệ sinh răng miệng đúng cách: Chải răng ít nhất hai lần mỗi ngày theo đúng kỹ thuật, kết hợp nước súc miệng kháng khuẩn để giảm nguy cơ sâu răng và viêm nướu. Trong thời gian chỉnh nha, nên hạn chế đồ ngọt, thực phẩm dính và thức ăn cứng để tránh ảnh hưởng đến khí cụ và tiến trình điều trị.
Chọn đúng bác sĩ có chuyên môn: Răng hô nặng là tình trạng phức tạp, không phải ca điều trị thông thường. Người bệnh nên tìm đến bác sĩ có kinh nghiệm chuyên sâu trong lĩnh vực chỉnh nha hoặc phẫu thuật hàm mặt để đảm bảo an toàn và hiệu quả lâu dài.
Tuân thủ phác đồ và lịch tái khám: Đeo khí cụ hoặc khay niềng đúng giờ, đủ thời gian theo chỉ định là yếu tố quyết định đến kết quả điều trị. Tái khám đúng lịch giúp bác sĩ theo dõi quá trình dịch chuyển răng, phát hiện sớm bất thường và điều chỉnh kịp thời khi cần.

Nha khoa Orion - Địa chỉ niềng răng hô nặng hiệu quả, uy tín
Nha khoa Orion tọa lạc tại 27 đường V3, Vinhomes Grand Park, TP. Hồ Chí Minh. Với định hướng phát triển chuyên sâu trong lĩnh vực chỉnh nha, phòng khám tập trung vào các giải pháp điều trị răng hô hiện đại, đảm bảo an toàn và hiệu quả bền vững cho từng bệnh nhân.
Dưới đây là những lý do khách hàng tin tưởng lựa chọn Orion:
Vị trí thuận tiện trong lòng Vinhomes Grand Park: Phòng khám nằm ngay trong khu đô thị cao cấp với hạ tầng hoàn thiện, giao thông dễ dàng và không gian xanh thoáng đãng, tạo cảm giác thoải mái cho khách hàng trong suốt quá trình thăm khám lẫn điều trị.
Chuyên sâu về chỉnh nha và sai khớp cắn: Orion tập trung điều trị các ca răng hô, móm, lệch khớp cắn từ mức độ nhẹ đến phức tạp. Phác đồ được xây dựng dựa trên nguyên nhân thực tế của từng bệnh nhân, có tính đến cả yếu tố răng lẫn cấu trúc xương hàm.
Đội ngũ bác sĩ có nền tảng lâm sàng vững: Bác sĩ tại Orion được đào tạo bài bản và tích lũy kinh nghiệm thực tế qua nhiều ca điều trị chỉnh nha. Khả năng đánh giá chính xác tình trạng giúp tối ưu hiệu quả và rút ngắn thời gian niềng răng.
Ứng dụng công nghệ chẩn đoán và mô phỏng hiện đại: Phòng khám sử dụng hệ thống chụp phim, scan 3D và phần mềm mô phỏng kết quả để phân tích toàn diện cấu trúc răng – hàm – mặt. Khách hàng có thể hình dung trước diện mạo sau điều trị ngay từ buổi tư vấn đầu tiên.
Lộ trình điều trị được cá nhân hóa: Mỗi kế hoạch chỉnh nha tại Orion đều được thiết kế riêng, phù hợp với độ tuổi, tình trạng răng và mong muốn thẩm mỹ của từng khách hàng, giúp tối ưu kết quả và giảm thiểu rủi ro trong quá trình điều trị.
Theo dõi sát suốt hành trình niềng răng: Khách hàng được tái khám định kỳ để kiểm tra mức độ dịch chuyển của răng và điều chỉnh lực kéo kịp thời. Quy trình giám sát chặt chẽ là yếu tố then chốt giúp kết quả ổn định và duy trì lâu dài sau khi tháo niềng.
Tìm hiểu thêm: Niềng răng móm có hết móm không? Mất bao lâu mới hiệu quả?

Nhận biết sớm dấu hiệu và lựa chọn phương pháp điều trị phù hợp sẽ giúp cải thiện hiệu quả răng hô nặng. Nha khoa Orion với đội ngũ bác sĩ chuyên sâu và phác đồ điều trị cá nhân hóa sẽ giúp bạn xây dựng lộ trình chỉnh nha phù hợp, hướng đến khớp cắn ổn định và nụ cười hài hòa.




