Viêm nướu răng là một vấn đề răng miệng phổ biến nhưng thường bị bỏ qua. Nếu tình trạng này kéo dài có thể gây ra những tổn thương nghiêm trọng cho sức khỏe răng miệng. Tham khảo các hình ảnh viêm nướu răng do Nha Khoa Orion cung cấp sẽ giúp bạn nhận biết bệnh sớm và chăm sóc răng miệng hiệu quả.
Viêm nướu răng là bệnh gì?
Viêm nướu răng (hay còn gọi là viêm lợi) là tình trạng nhiễm trùng tại các mô quanh răng. Bệnh phát sinh khi vi khuẩn tích tụ trong mảng bám và cao răng, tạo ra độc tố gây kích thích nướu. Nếu không được xử lý sớm, viêm nướu răng có thể tiến triển thành viêm nha chu và trong trường hợp nghiêm trọng, có thể dẫn đến mất răng.

Bệnh viêm nướu răng là gì
Dấu hiệu nhận biết triệu chứng viêm nướu răng
Nướu bình thường sẽ ôm sát chân răng và có màu hồng nhạt. Nhưng khi bị viêm, bạn sẽ thấy một số dấu hiệu sau:
- Sưng tấy, phồng lên: Nướu căng và sưng hơn bình thường, chạm vào là thấy rõ.
- Thay đổi màu sắc: Nướu chuyển từ hồng nhạt sang đỏ thẫm hoặc hơi tím, báo hiệu mạch máu đang bị kích thích.
- Chảy máu: Khi đánh răng, dùng chỉ nha khoa hay bị tác động nhẹ nướu đều dễ chảy máu.
- Hơi thở có mùi: Vi khuẩn và mảng bám sinh ra mùi hôi khó chịu, đôi khi còn kèm vị lạ trong miệng.
- Nướu mềm và tụt xuống khỏi chân răng: Nếu viêm lâu, nướu mất săn chắc, tụt dần xuống, lộ chân răng khiến răng nhạy cảm với nóng, lạnh.
- Thay đổi cảm giác khớp cắn khi nhai: Chân răng lộ ra nên khi ăn đồ nóng, lạnh hay cứng, bạn sẽ cảm thấy đau hoặc khó chịu.
▷ Tìm hiểu ngay: Chảy máu nướu răng: Nguyên nhân, dấu hiệu và cách điều trị dứt điểm

Dấu hiệu nhận biết viêm nướu răng
Hình ảnh viêm nướu răng
Quan sát những thay đổi trên nướu và so sánh sự khác biệt trong từng giai đoạn sẽ giúp việc phát hiện bệnh trở nên nhanh chóng và chính xác hơn. Dưới đây là tổng hợp hình ảnh viêm nướu răng theo từng trường hợp bệnh lý và giai đoạn.

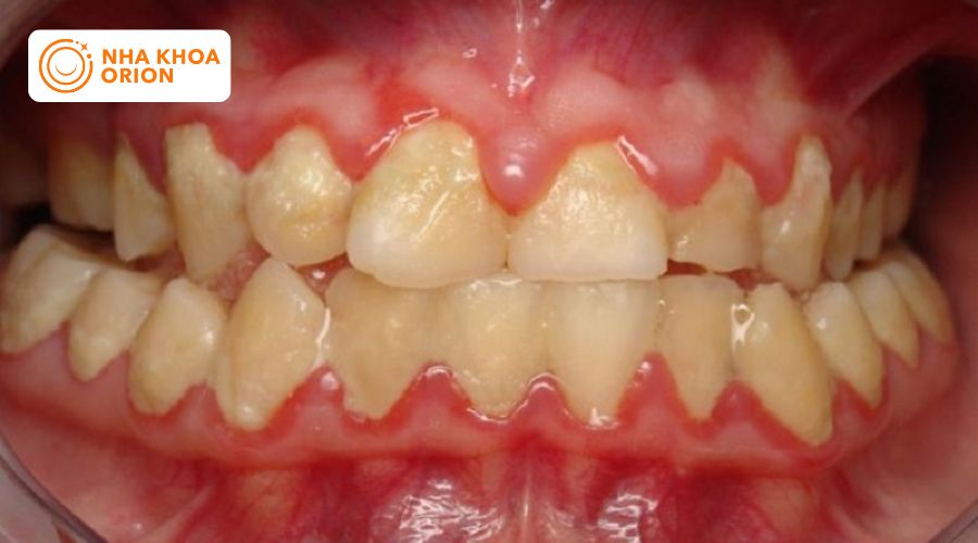
Nướu răng bị viêm nhẹ gây sưng đỏ

Viêm nướu răng khiến chân răng dễ bị chảy máu

Mô nướu quanh chân răng bị sưng to và chuyển sang màu đỏ

Viêm nướu làm sưng nướu, hở chân răng và chảy máu

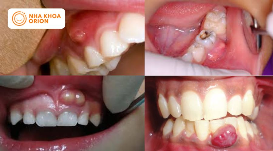
Hình ảnh viêm nướu răng gây tụt lợi

Viêm nướu răng có mủ, ổ dịch trong khoang miệng

Hình ảnh viêm nướu răng do cao răng quá nhiều

Viêm nướu răng đã trở nên nghiêm trọng

Viêm nướu hoại tử, lở loét nặng
Nguyên nhân gây viêm nướu răng
Nguyên nhân chính gây viêm nướu răng là do mảng bám và cao răng. Hiểu rõ nguồn gốc của tình trạng này sẽ giúp bạn phòng ngừa hiệu quả và phát hiện sớm tình trạng viêm trước khi nó tiến triển nghiêm trọng.
Mảng bám
Mảng bám là một lớp màng mỏng hình thành khi tinh bột, đường trong thức ăn gặp vi khuẩn tự nhiên trong miệng. Vi khuẩn trong mảng bám này sẽ tiết ra độc tố, có thể dẫn đến sưng đỏ, chảy máu.
Cao răng
Khi mảng bám không được làm sạch trong 72 giờ, chúng sẽ bị vôi hóa và hình thành cao răng. Cao răng thường bám dưới đường viền nướu, tạo môi trường lý tưởng cho vi khuẩn phát triển. Chính vì vậy nướu càng dễ bị kích ứng và tình trạng viêm kéo dài hơn.
Vệ sinh răng miệng kém
Nếu đánh răng không kỹ hoặc ít khi dùng chỉ nha khoa, mảng bám và cao răng sẽ tích tụ, làm nướu bị kích thích và viêm. Ngoài ra, chải răng quá mạnh hoặc dùng bàn chải cứng cũng dễ làm tổn thương nướu, tạo điều kiện cho vi khuẩn xâm nhập và gây viêm.
Thay đổi nội tiết tố
Trong giai đoạn mang thai, tuổi dậy thì hoặc chu kỳ kinh nguyệt ở phụ nữ, nồng độ hormone trong cơ thể thay đổi khiến nướu trở nên nhạy cảm hơn. Khi nướu nhạy cảm, mảng bám bình thường cũng có thể khiến nướu phản ứng mạnh, dẫn đến sưng tấy và dễ chảy máu.
Hút thuốc lá
Thuốc lá làm hệ miễn dịch yếu đi, cơ thể khó chống lại vi khuẩn trong miệng. Thêm nữa, hút thuốc còn làm máu tới nướu ít hơn, khiến vết thương lành chậm và đôi khi che đi cả các dấu hiệu viêm như chảy máu nướu.
Thiếu hụt vitamin
Khi cơ thể thiếu hụt vitamin và khoáng chất, nướu trở nên yếu ớt và kém khỏe mạnh. Lúc này, vi khuẩn dễ gây viêm phát triển nhanh vì hệ miễn dịch không đủ sức chống lại.
Mắc bệnh lý toàn thân
Những ai mắc bệnh làm suy giảm hệ miễn dịch, ví dụ như tiểu đường, HIV/AIDS hoặc đang điều trị ung thư, thì nướu sẽ yếu hơn, dễ bị viêm và tình trạng cũng nghiêm trọng hơn bình thường.
Tác dụng phụ của thuốc
Một số loại thuốc, ví dụ như thuốc điều trị động kinh (Phenytoin) hay thuốc chẹn kênh canxi, có thể làm nướu phì đại, sưng to và khó vệ sinh hơn bình thường. Ngoài ra, những thuốc làm giảm tiết nước bọt, như thuốc kháng histamin hay thuốc chống trầm cảm, cũng làm tăng nguy cơ viêm nướu.
Răng mọc lệch lạc, chen chúc hoặc mọc ngầm
Khi răng mọc không đều sẽ tạo ra nhiều kẽ hở khó làm sạch, mảng bám sẽ dễ tích tụ ở đó. Những chỗ này trở thành ổ vi khuẩn lý tưởng, từ đó làm tăng nguy cơ nướu bị viêm.
Bên cạnh đó, khi răng khôn hoặc một số răng khác đang mọc, phần nướu phủ lên răng dễ bị kẹt thức ăn, từ đó dẫn đến nhiễm trùng. Tình trạng này sẽ gây viêm nướu cục bộ và là giai đoạn đầu của bệnh nha chu nếu không được chăm sóc kịp thời.
▷ Tìm hiểu ngay: Nguyên nhân sưng nướu răng trong cùng hàm dưới và cách chữa trị

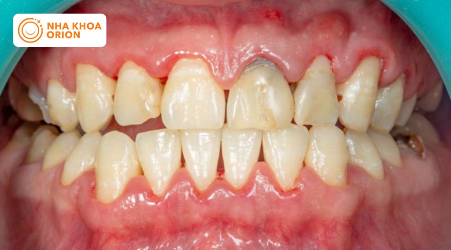
Nguyên nhân phổ biến gây viêm nướu răng là mảng bám và cao răng
Điều trị viêm nướu răng tại nha khoa Orion
Nếu thấy nướu bị sưng, đỏ hay chảy máu thì đừng chần chừ, nên đến nha khoa Orion sớm càng tốt. Bác sĩ sẽ thăm khám tổng quát, xác định chính xác nguyên nhân và đưa ra cách điều trị phù hợp. Quy trình cụ thể như sau:
- Đầu tiên, khi điều trị viêm nướu, bác sĩ sẽ làm sạch mảng bám và cao răng trước. Nha Khoa Orion trang bị các dụng cụ chuyên dụng, được khử trùng để loại bỏ hết vi khuẩn bám trên răng, ngăn tình trạng viêm tiếp tục tiến triển.
- Sau đó, bạn sẽ được các nha sĩ tại Orion hướng dẫn cách chăm sóc răng miệng đúng cách: Đánh răng kỹ thuật chuẩn, dùng chỉ nha khoa, nước súc miệng,...tất cả đều nhằm giúp răng nướu sạch hơn và tránh viêm nướu quay lại.
- Cuối cùng, bác sĩ sẽ khuyên bạn thăm khám định kỳ. Việc này không chỉ giúp theo dõi tiến triển của bệnh mà còn phát hiện sớm những vấn đề khác về răng miệng, đảm bảo răng nướu khỏe mạnh lâu dài.

Điều trị viêm nướu răng an toàn, hiệu quả tại Nha Khoa Orion
Cách phòng ngừa viêm nướu răng
Viêm nướu răng có thể phòng ngừa hiệu quả nếu bạn duy trì các thói quen chăm sóc răng miệng và lối sống lành mạnh:
- Đánh răng đúng cách: Nhớ đánh răng ít nhất 2 lần mỗi ngày, vào sáng và tối để loại bỏ mảng bám và bảo vệ nướu khỏi vi khuẩn.
- Chọn bàn chải phù hợp: Dùng bàn chải lông mềm, vừa vặn với miệng, vừa làm sạch hiệu quả vừa không làm tổn thương nướu.
- Dùng sản phẩm hỗ trợ: Dùng thêm chỉ nha khoa và nước súc miệng để làm sạch những chỗ bàn chải khó chạm tới.
- Ăn uống hợp lý: Ăn đủ chất, hạn chế đồ ngọt, tinh bột để giảm nguy cơ vi khuẩn phát triển.
- Duy trì lối sống khỏe mạnh: Tập thể dục đều đặn giúp cơ thể khỏe mạnh, hệ miễn dịch hoạt động tốt, tăng khả năng chống lại vi khuẩn gây viêm nướu.
- Giảm stress: Căng thẳng kéo dài không chỉ mệt người mà còn làm nướu nhạy cảm hơn, nên hãy cố gắng thư giãn.
- Khám nha khoa định kỳ: Thăm khám nha khoa 2 lần/năm để phát hiện sớm vấn đề răng miệng và xử lý kịp thời, tránh viêm nhiễm nặng hơn.

Cách phòng ngừa tình trạng viêm nướu răng
Hy vọng những thông tin và hình ảnh viêm nướu răng mà Nha Khoa Orion chia sẻ trong bài viết sẽ giúp bạn nhận biết sớm các dấu hiệu của bệnh lý này. Ngay khi xuất hiện các triệu chứng bất thường ở nướu, bạn nên đến nha khoa uy tín để được thăm khám và điều trị kịp thời, ngăn ngừa bệnh tiến triển nặng hơn.




